


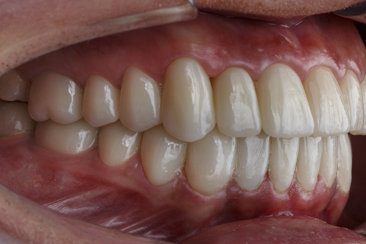
Periodontics focuses on the prevention, diagnosis, and treatment of gum diseases and conditions affecting the supporting structures of the teeth. Healthy gums are essential for strong teeth, stable bite alignment, and overall oral health. Periodontal care includes non-surgical and surgical treatments designed to control infection, reduce inflammation, and regenerate supporting tissues. Timely periodontal treatment helps prevent tooth loss, improves oral hygiene, and supports long-term dental function and confidence.
Specialized care for gum health, bone support, and long-term tooth stability.
Regular visits to the dentist offer numerous benefits for maintaining optimal oral health. They help in early detection of issues like cavities, gum disease, and oral cancer.
It is an infection of the gums and bone supporting the teeth, caused by plaque buildup.
Symptoms include bleeding gums, bad breath, swelling, and loose teeth.
Yes, early treatment can control and reverse gum disease.
Modern techniques ensure comfortable treatment with minimal discomfort.
Healthy gums are essential to keep teeth stable and prevent tooth loss.
We always take care of your smile
(+91) 81292 20630
Copyright © 2025 All Rights Reserved.
Lorem ipsum is a placeholder text commonly used to demonstrate the visual form of a document
Copyright © 2024 All Rights Reserved.