


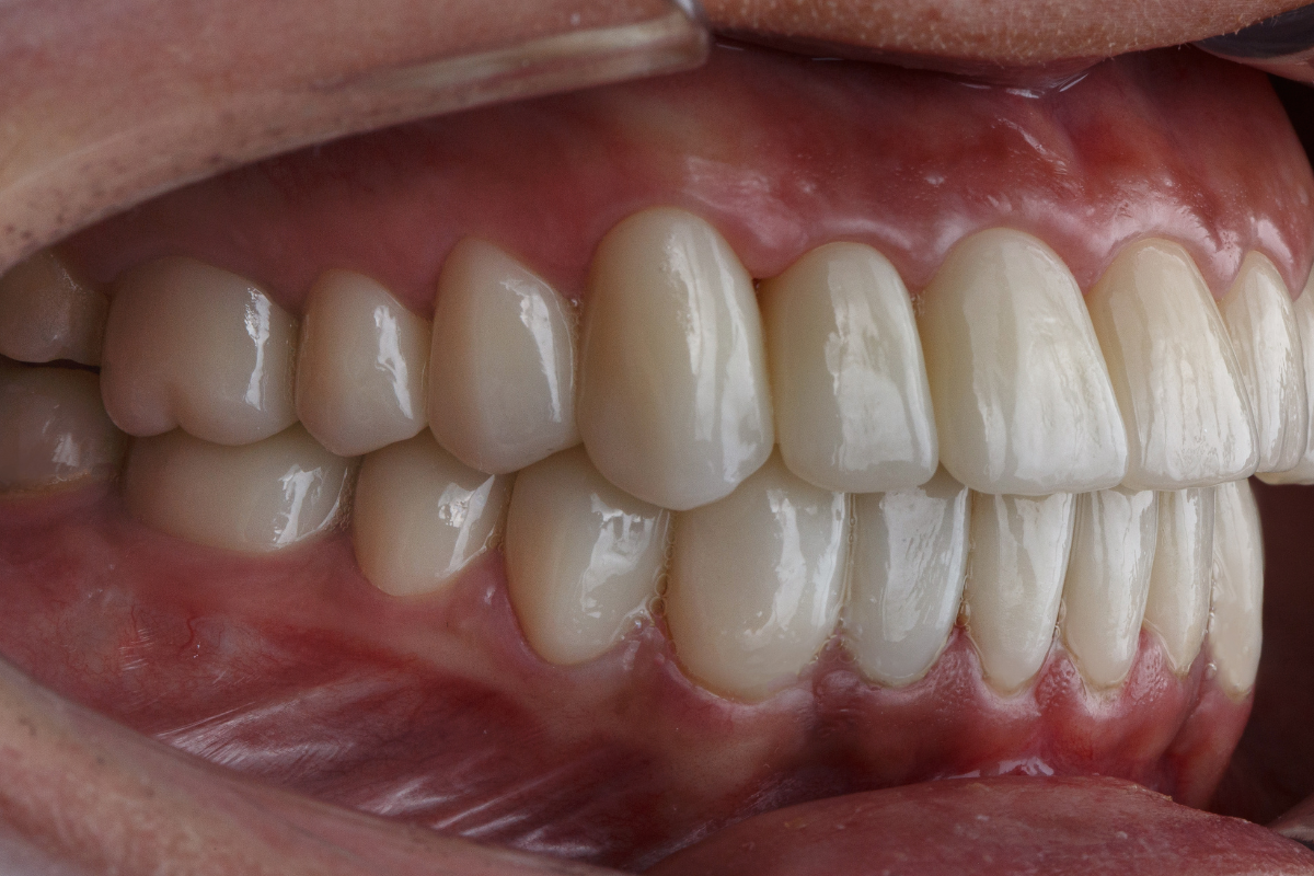
Crown lengthening reshapes gum and bone tissue to expose more of the tooth structure. It is often required before placing crowns or to improve smile aesthetics. This procedure ensures better restoration fit and long-term oral health.
A procedure to expose more tooth surface for restorative or cosmetic needs.
Regular visits to the dentist offer numerous benefits for maintaining optimal oral health. They help in early detection of issues like cavities, gum disease, and oral cancer.
To expose sufficient tooth structure for proper restoration.
It is performed under anesthesia for comfort.
Healing usually takes a few weeks.
It can be both functional and cosmetic.
Yes, in suitable cases.
We always take care of your smile
(+91) 81292 20630
Copyright © 2025 All Rights Reserved.
Lorem ipsum is a placeholder text commonly used to demonstrate the visual form of a document
Copyright © 2024 All Rights Reserved.